精准入微 洞见非凡
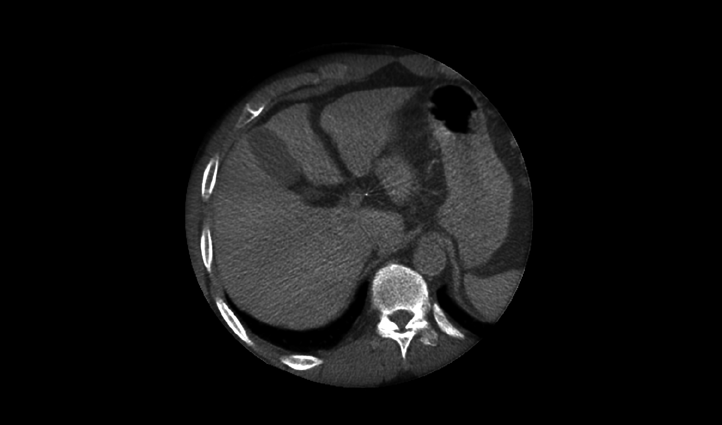
精微小血管可视
保障长时间充沛动力,寿命长
Quantum 3D/Quantum CT/Quantum Stent
2K超清影像链,精至微小血管一览无余
读取速度快
分辨率高
剂量降低

液态金属轴承
高散热、长寿命
栅控脉冲
减少杂散射线、无爬坡、拖尾
金属滤片
过滤杂散射线,图像始终清晰

辽阔视野
*40×30cm成像面积,大部位成像一次性覆盖
AI+源头降噪
深度学习多层特征智能降噪,融合多重先进后处理技术,兼顾精准与低剂量

经典落地机架
快速灵活实现术中摆位移动
智能多轴等中心
快速智能锁定病灶

120cm 大进深覆盖
机架正位满足胸腹部以上介入需求
*230cm 纵向覆盖范围
满足全身介入手术需求,97cm地轨床,快速CPR位






万东医疗
万东技服
万里云
