精准影像 影翼随行
M800-1系列以"便捷-精准-智能"的三大核心价值,全方位满足ICU、急诊科、骨科、呼吸科、手术室、病房等多场景需求,重新定义床旁诊断标准。
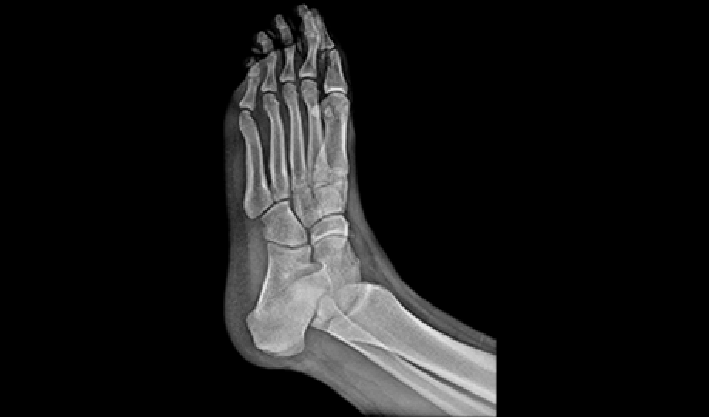
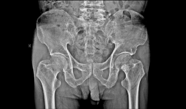
百微平板,尽显非凡图像细节
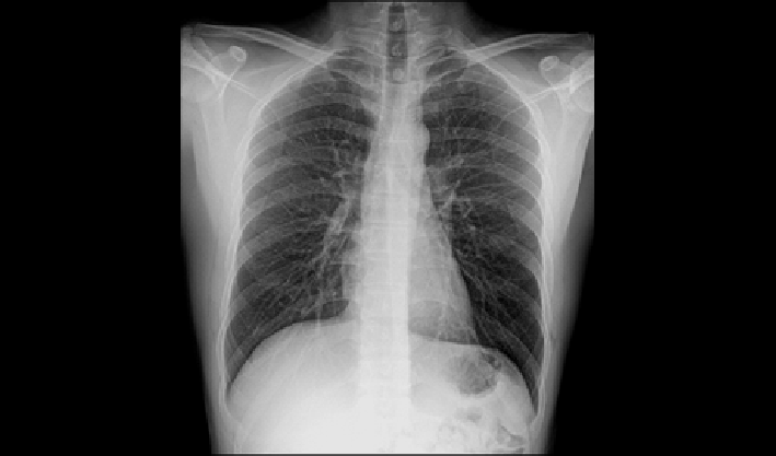
17X17英寸全功能大平板
微米级分辨率,细微病灶清晰呈现
便于为大体型、腹片、慢阻肺的拍片
智能充电,即插即充,随时保持满格战斗力
通道频域滤波技术,提升图像清晰度,降低图像噪声
大功率输出,连续摄片无压力,5ms 成像冻结运动伪影
智能6轴联动 丝滑升降,一键满足复杂体位需求
19英寸触控屏 集成操控一目了然
135cm紧凑机身 推行视野开阔,多场景轻松转场
单手轻松操控 13.5°过坡过坎稳妥可靠
伸缩高达2075mm
手持iPad终端,远程隔墙可视化曝光
实时远程观测,语音指导摆位
实时图像预览,AI辅助图像质控*
智能剂量管理,自动识别儿童/成人双协议
专用低剂量软件和硬件
儿科专属摄影的临床协议
可插拔滤线栅
化学稳定性高,不易燃爆
稳定动力输出,单次充电千次曝光
万东医疗
万东技服
万里云
