运维无忧、精准无忧、操作无忧
液态金属轴承技术,寿命提升,降低运维成本
宽体探测器结合高转速,高清成像,降低运动伪影
床旁触控系统,支持多功能“一屏集成”,简化操作
微米级切割工艺 提升薄层成像能力
精密集成架构 减少图像噪声
自动恒温调控 高稳定系统
同级更宽轴向覆盖 单圈扫描范围提升
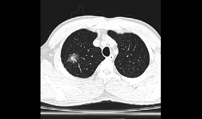
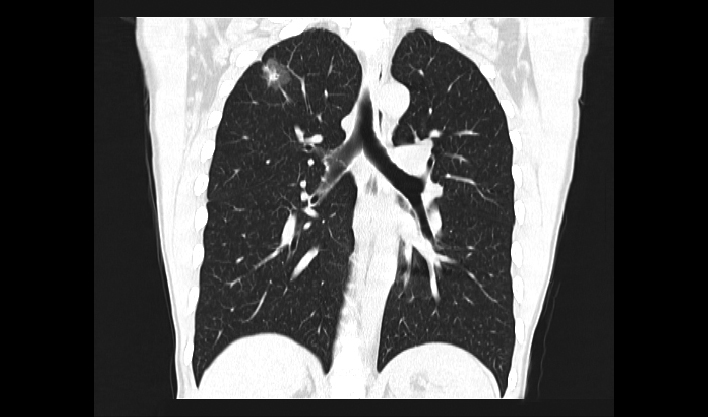
瞬间定格,避免呼吸运动伪影,提高检查成功率。
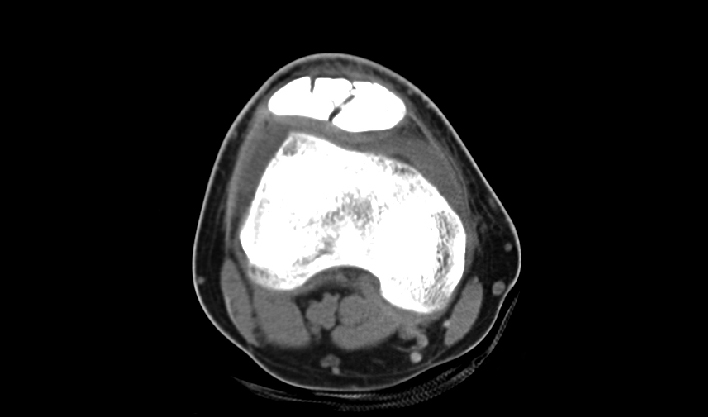
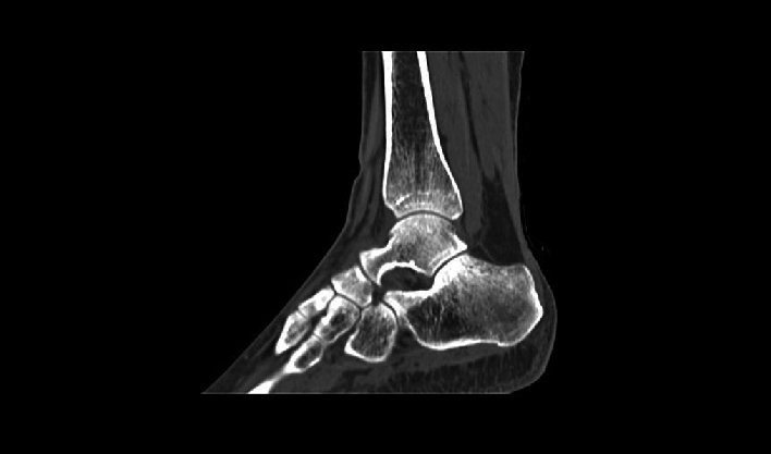
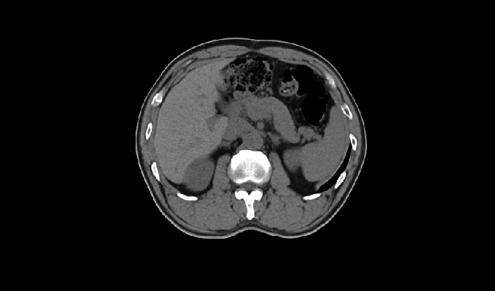
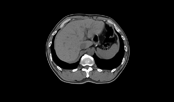
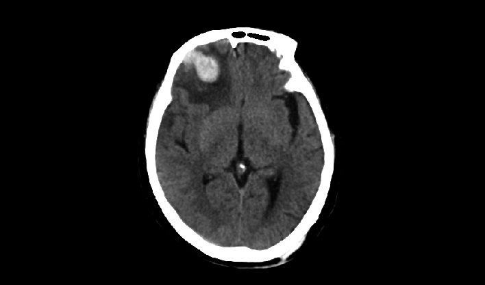
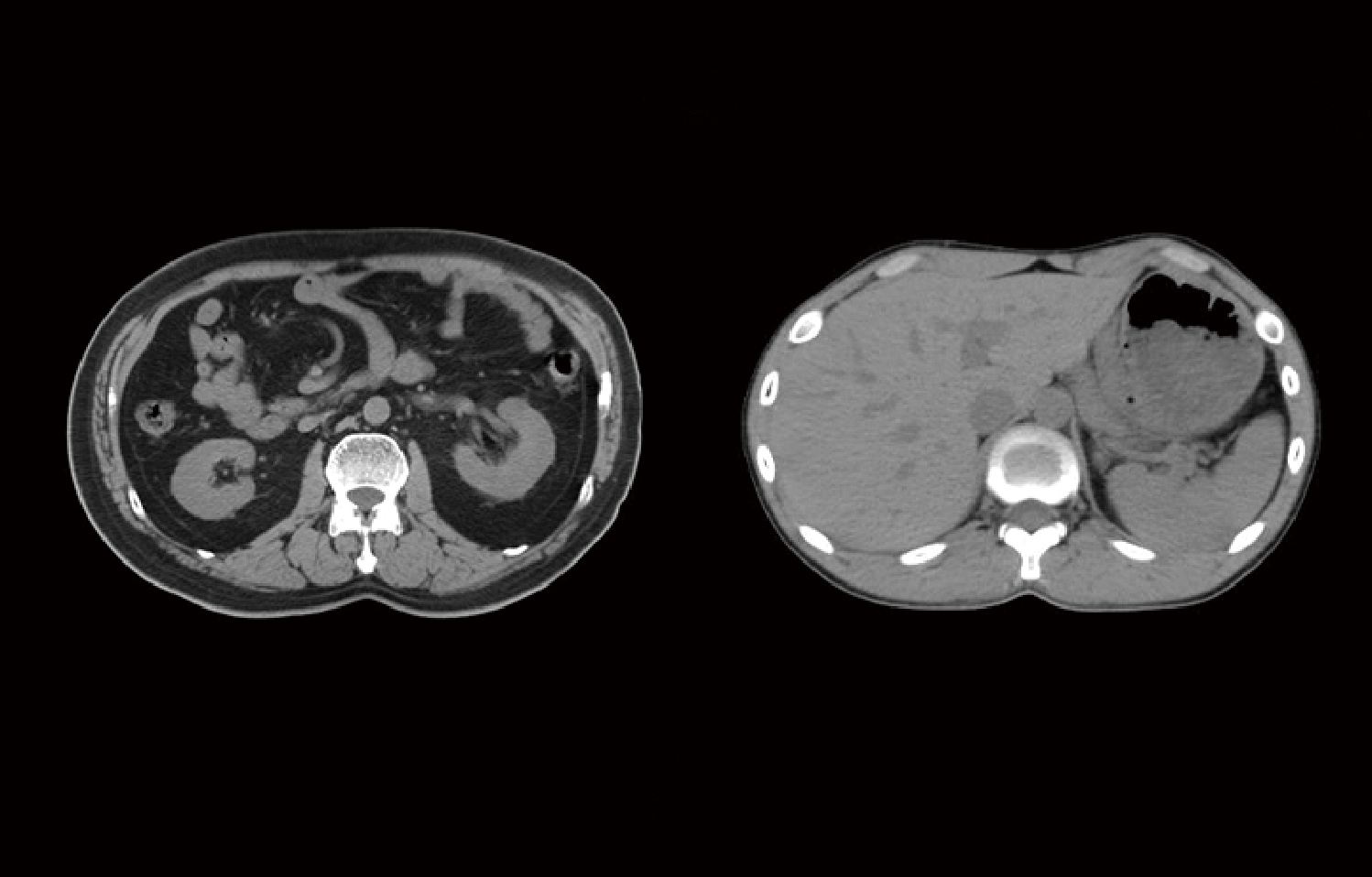
1024x1024重建矩阵,图像数据量扩充4倍,配合薄层成像,微小病灶无处遁形。

高效率
无需起转时间,缩短患者整体扫描时间,检查效率高,轻松应对门急诊高通量检查。
高散热
液态金属轴承紧密填充转子和轴承之间缝隙,360度全方位散热,保障连续大量扫描需求。
低磨损
阳极转动时,液态金属轴承产生的摩擦小,震动小,噪音及热量低,系统磨损低,从而延长球管使用寿命。
低维保
液态金属替代钢珠,消除中心轴与管套间的直接摩擦损耗,使得球管使用寿命延长,降低维保费用。

床旁智控系统
双侧触控智能工作站,集成患者信息核对、扫描方案切换移动床控制等多项功能,无需在设备间和操作间转换,简化成像流程,解决技术人力短缺痛点。
慧眼3D-AI可视化导航系统(可选配)
自动精准识别体位和体型,自动设定定位像扫描范围,一键智能摆位,隔室实现精准摆位扫描,轻松获得规范化图像。
高精度自动升降床
床面可降至460mm,方便儿童、轮椅患者和转运床患者。
















万东医疗
万东技服
万里云
